2025. 4. 1. 02:41ㆍkey info
📌 보건소 결핵검사 첫걸음
보건소 결핵검사를 받는 것은 간단하지만 처음 시도하는 사람들에게는 생소할 수 있습니다. 무엇부터 시작해야 할지 발을 떼기가 어려운 분들도 계실 텐데요, 오늘은 여러분께 보건소 결핵검사를 받는 방법에 대해 상세히 안내해 드리려고 합니다. 결핵검사는 건강을 지키는 중요한 수단이니, 이 기회를 통해 많은 분들이 올바른 정보를 얻어가셨으면 좋겠습니다.
먼저 보건소 결핵검사를 받으려면 가까운 보건소를 찾아가는 것이 첫 단계입니다. 한국 전역에는 다양한 보건소가 운영되고 있으므로, 여러분의 거주지와 가까운 보건소를 인터넷에서 검색해보세요. 보건소의 위치와 연락처 정보를 확인하고, 방문하기 전에 운영 시간을 확인하는 것도 잊지 말아야 합니다!
일반적으로 보건소 결핵검사는 사전 예약 없이도 가능하지만, 별도로 기숙사 제출용 검사나 특정 이유가 있는 경우에는 사전 예약이 필요할 수 있습니다. 예약 방법은 전화나 인터넷을 통해 가능합니다. 연결이 잘 되지 않을 수 있으므로, 평일 근무 시간에 전화를 시도하는 것이 좋습니다.
이제 보건소에 도착하면 직원에게 결핵검사를 받고 싶다는 의사를 밝히세요. 보건소 직원들은 친절하게 안내해 줄 것이며, 필요한 서류와 정보를 요청할 수도 있습니다. 종종 신분증을 요구할 수도 있으니 미리 준비해 두는 게 좋겠죠?
💡 보건소 결핵검사 비용과 과정
보건소 결핵검사 비용은 상대적으로 저렴합니다. 일반적으로 검사 비용은 건강보험이 적용되므로 큰 부담이 되지 않습니다. 특히 저소득층이나 취약계층을 위해 무료로 제공되는 경우도 있죠. 각 보건소마다 조금씩 다를 수 있으니 직접 문의해 확인해보는 것이 좋습니다.
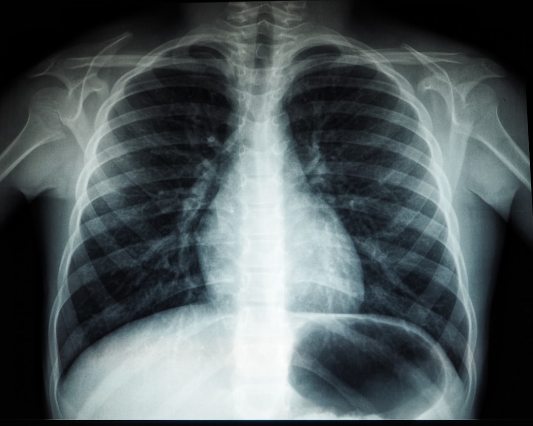
검사 과정은 매우 간단합니다. 결핵 검사는 주로 피검사(잠복 결핵 검사)와 흉부 X-ray 촬영으로 이루어져 있습니다. 처음 검사에 대한 불안감을 느낀다면, 제가 겪었던 경험을 공유하겠습니다. 검사 받기 전 조금 긴장했지만, 일단 시작하니 생각보다 쉽게 마칠 수 있었습니다!
피검사는 보통 손가락에 바늘을 찔러 혈액을 채취하고, 이 피를 통해 결핵 감염 여부를 확인합니다. 그리고 흉부 X-ray 촬영은 방사선 촬영을 통해 폐의 상태를 확인하는 과정입니다. 이 두 검사는 전반적인 결핵 검사 과정에서 필수적인 단계에 해당합니다.
보건소에서 받은 결핵 검사 결과는 보통 1주일 이내에 확인할 수 있습니다. 이 또한 근무 시간에 따라 다를 수 있으니, 사전에 문의해 보시는 것이 현명합니다. 검사 결과는 확인서를 통해 발급되며, 이 확인서는 학업, 취업, 기숙사 제출 등 다양한 용도로 활용될 수 있으니 중요한 서류로 간직해 두세요!
🔑 보건소 결핵검사 결과와 관리
결과를 기다리는 날은 긴장감이 감돌 수 있는데요, 긍정, 부정 결과와 관계없이 마음의 준비가 필요합니다. 만약 결핵 검사 결과가 양성으로 나와도 필요한 치료와 관리가 가능하니 너무 걱정하지 마세요. 그리고 이때 의료진과의 상담이 매우 중요합니다. 적절한 조치를 통해 건강을 회복할 수 있으니까요.



결과가 음성으로 나왔다면, 여러분은 결핵으로부터 비교적 안전한 상태에 있습니다. 그렇지만 정기적으로 검사를 받는 것이 바람직하니, 특히 고위험군에 속하는 경우라면 더욱 주의가 필요합니다. 제 경험상, 매년 정기적으로 검사를 받는 것이 자신의 건강을 지키는 최선의 방법입니다.
여기서 잠복 결핵 검사에 대해서도 간단히 말씀드리면, 이 검사 역시 보건소에서 받으실 수 있습니다. 이는 결핵균에 감염되었는지를 확인하는 것으로, 보건소 잠복결핵검사 비용도 저렴하니 어려움 없이 아주 쉽게 받을 수 있습니다. 개인적으로는 응급 상황이 아니라면 정기적으로 검사를 받는 것이 건강을 지키는 열쇠라는 생각이 듭니다.
검사 결과가 음성이더라도 면역력이 떨어진 상태에서는 감염될 위험이 있으니, 건강 관리에 신경 써야 합니다. 충분한 수면과 균형 잡힌 식사는 필수적이며, 특히 환절기에는 감기나 기타 호흡기 질환에 노출되지 않도록 주의하세요. 여러분의 건강이 항상 최우선입니다!
함께 읽어볼 만한 글입니다
심리 테스트 종류로 알아보는 나의 진짜 모습
💡 심리 테스트란 무엇인가?심리 테스트는 우리 마음과 성격에 대한 흥미로운 창을 제공합니다. 이 테스트들은 개인의 내면을 탐구하고, 감정적인 반응을 이해하는 데 도움을 줍니다. 예를 들
key.showinfo.shop
월세 소득공제 서류, 놓치면 안 되는 핵심 정보 5가지
📌 월세 소득공제 서류란?오늘은 여러분과 함께 많은 분들이 궁금해하시는 월세 소득공제 서류에 대해 알아보려고 합니다. 월세를 내는 직장인들이나 자영업자들에게는 정말 큰 도움이 될 수
key.showinfo.shop
구속영장반려뜻, 그 배경과 의미는?
🔍 구속영장반려뜻이란?구속영장반려뜻은 법적 용어로, 구속 영장을 발부하는 것이 아닌 이를 반려하는 과정을 의미합니다. 이 과정은 여러 이유로 이루어질 수 있으며, 일반적으로는 피의자
key.showinfo.shop
🚫 주의할 점과 FAQ
검사를 받기 전에는 반드시 다음 사항을 고려해야 합니다. 먼저, 검사 직전에는 과식이나 운동을 삼가는 것이 좋습니다. 검사에 대한 불안감 또는 스트레스를 관리하는 것도 중요한데요, 마음을 편히 가져보세요.



| 구분 | 검사 종류 | 비용 | 결과 통보 기간 |
|---|---|---|---|
| 결핵 검사 | 피검사 | 최종 비용 확인 필요 | 약 1주일 |
| 잠복 결핵 검사 | 피검사 | 경제적 | 약 1주일 |
결국 보건소 결핵검사는 여러분의 건강을 지키는 필수적인 단계입니다. 첫 번째로 검사 받는 것이 두려운 순간일 수도 있지만, 그 과정이 갖는 의의를 명심해 주시길 바랍니다. 여러분의 건강과 안전, 그리고 행복을 위해 스스로 챙기는 것이 가장 중요하니까요!
❓ 자주 묻는 질문
Q1. 보건소 결핵검사 결과는 어떻게 확인하나요?
A: 검사 결과는 보건소에 방문하거나 전화로 확인하실 수 있습니다. 보통 1주일 이내에 확인 가능합니다.
Q2. 보건소 결핵검사 시간은 어떻게 되나요?
A: 보건소의 운영 시간은 지역에 따라 다르니 미리 문의해보는 것이 좋습니다.
Q3. 잠복 결핵 검사도 보건소에서 받을 수 있나요?

A: 네, 보건소에서 잠복 결핵 검사도 받을 수 있습니다. 비용은 저렴하며, 검사를 통해 건강을 확인하는 것이 중요합니다.
'key info' 카테고리의 다른 글
| 아르헨티나 환율계산기로 똑똑하게 환전하는 법 (0) | 2025.04.01 |
|---|---|
| 일용직 비과세 혜택, 근로소득 세금 알아보기 (0) | 2025.04.01 |
| 대만환율계산기 활용법과 실속 있는 환전 팁 (0) | 2025.04.01 |
| 국민연금 수령시 소득세 부담은? (2025년 납부 기준과 유의사항) (1) | 2025.04.01 |
| 고용노동부 표준근로계약서 양식 무료 다운 받고 작성 팁 (0) | 2025.03.31 |